Catarata
La catarata es la opacidad parcial o total del cristalino que tiene lugar con el envejecimiento.
→ Leer más
La catarata es la opacidad parcial o total del cristalino que tiene lugar con el envejecimiento.
→ Leer más
La DMAE es una enfermedad degenerativa caracterizada por una lesión en la parte central de la retina: la mácula.
→ Leer más
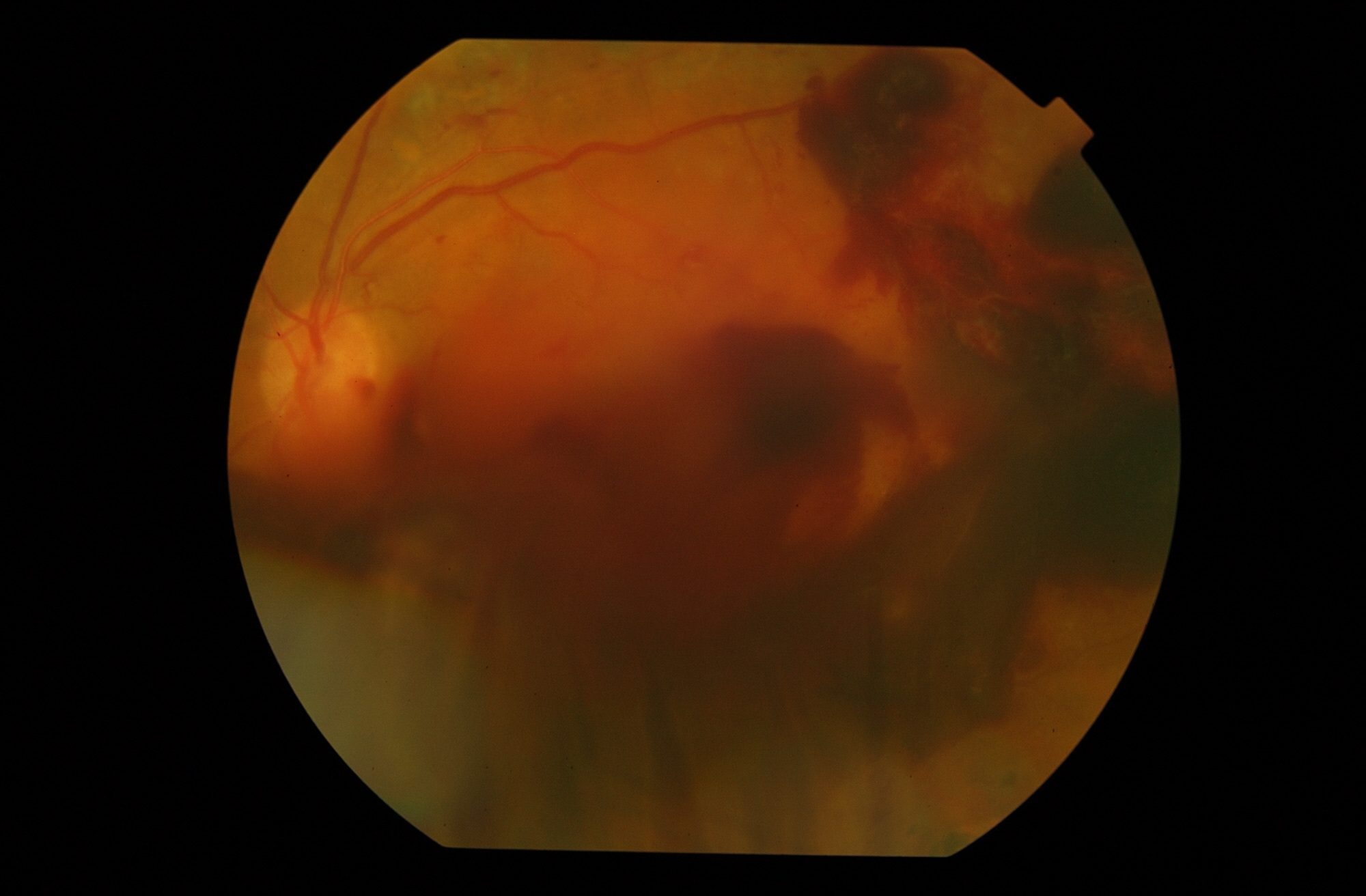
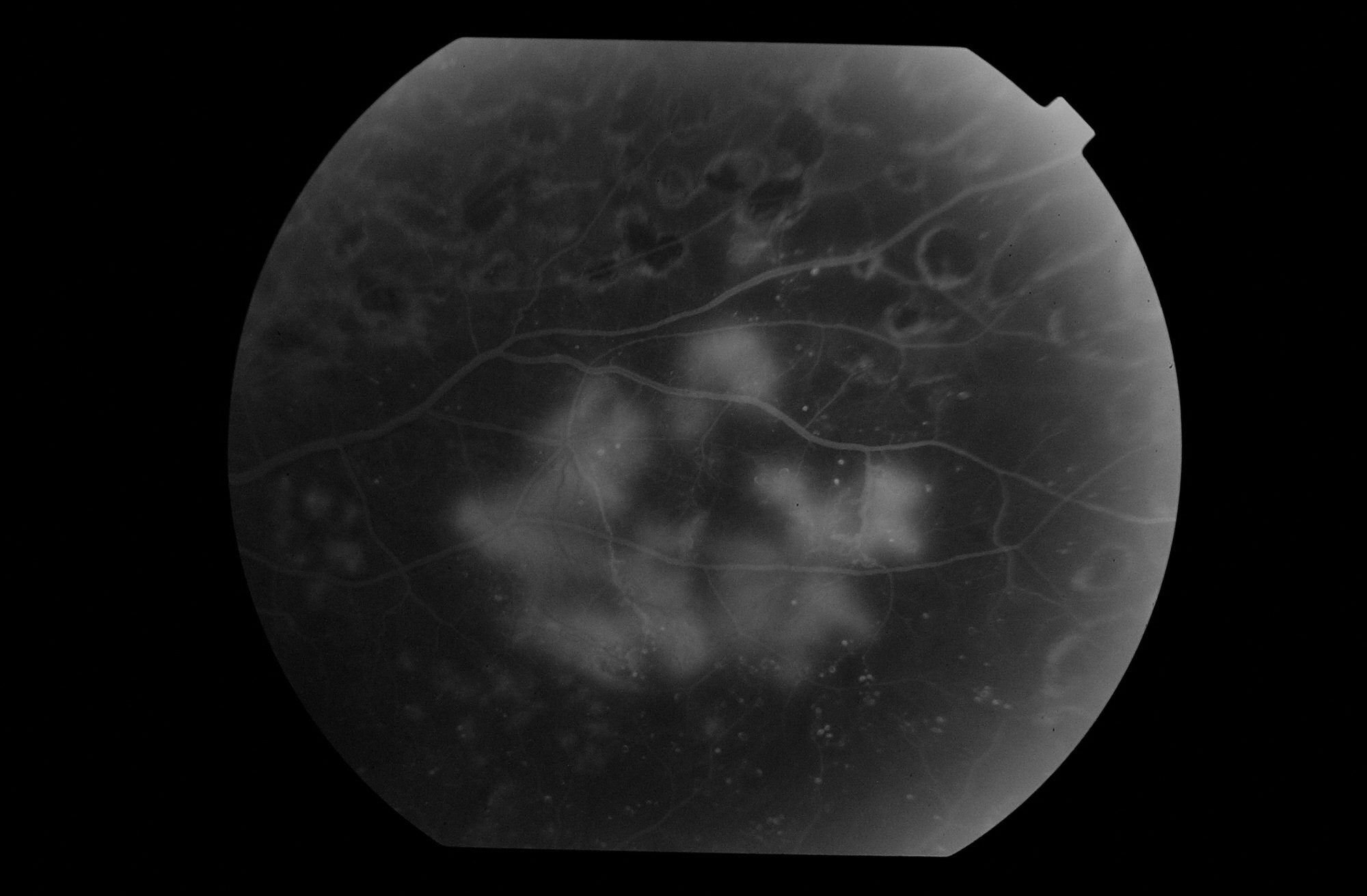
El edema macular diabético es la causa más frecuente de pérdida de visión en la población diabética.
→ Leer más
¿Que es la Retinopatía Diabética? La Retinopatía Diabética es un de las principales causas de pérdida de visión en los adultos.
→ Leer más
Es una enfermedad que daña las fibras del nervio óptico (neuropatía) dándole un aspecto característico y se acompaña por una alteración de la visión lenta pero irreversible.
→ Leer más
La inyección intravítrea es un tratamiento que consiste en la administración de un fármaco mediante una inyección dentro del ojo bajo anestesia tópica.
→ Leer más
Lorem ipsum dolor sit amet, consectetur adipiscing elit. Morbi vulputate nunc ut tellus sollicitudin placerat.
→ Leer más
Ozurdex® es un implante de dexametasona (esteroides) biodegradable que se usa para tratar la inflamación macular causada por la diabetes, la oclusión de las venas de la retina...
→ Leer más
Se recomienda realizar una primera valoración oftalmológica a los 4 años. El objetivo principal de la revisión infantil es la detección precoz de una ambliopía u “ojo vago”.
→ Leer más
¿Tienes dudas sobre tu salud ocular o la de alguien cercano?
Solicitar consulta con la Dra. Esmerado →O llama al 932 554 000